Artigos Científicos Publicados


Mantemos nosso compromisso com a publicação em revistas científicas de prestígio internacional, certos de que a disseminação do conhecimento é uma forma nobre de contribuir para a saúde e o bem-estar de pacientes em todo o mundo.

Dr. Chrystiano Cardoso.

Base - 01

Dr. Chrystiano Cardoso - Cirurgião responsável, orientador do trabalho e o responsável pelos casos mais complexos da publicação.

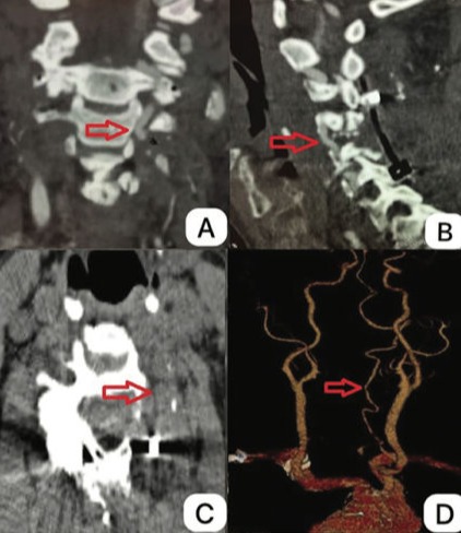
Vertebral Artery Stenosis Caused by Cervical Osteophyte: A Rare and Reversible Cause of Vertebrobasilar Insufficiency. Case Report.

Por Dr. Chrystiano Cardoso.

A síndrome de Bow Hunter se manifesta quando a artéria vertebral é comprimida após a rotação da cabeça. A compressão sintomática com estenose da artéria vertebral devido a osteófitos cervicais é uma causa rara e ocorre devido a um processo degenerativo progressivo. Geralmente, a compressão se origina anteromedialmente do processo uncinado e é assintomática devido à competência da artéria vertebral contralateral.

No paciente descrito, a compressão se apresentou superomedialmente devido a osteófitos na faceta articular superior da vértebra C5, e a artéria vertebral contralateral estava obstruída. Uma avaliação cuidadosa com imagens, principalmente angiotomografia 3D pré-operatória, é necessária para determinar a abordagem mais benéfica para a descompressão. O tratamento de escolha para compressão sintomática induzida por espondilose cervical é a cirurgia de descompressão. 

Base - 01

Dr. Chrystiano Cardoso - Cirurgião responsável, orientador do trabalho e o responsável pelos casos mais complexos da publicação.

FRACTURE OF A VEN- TRICULOPERITONEAL CATHETER CAUSING INTRACRANIAL HYPER- TENSION

Por Dr. Chrystiano Fonseca Cardoso.

Hydrocephalus is a disorder characterized by the excessive accumulation of cerebrospinal fluid (CSF) in the brain’s ventricles and/or suba- rachnoid spaces, leading to ventricular dilation and increased intracranial pressure (ICP) (1). Ventriculoperitoneal (VP) shunts have long been the standard treatment for hydrocephalus (2). Immediate evaluation for potential shunt malfunction should be performed in patients who develop new or aggravated signs of incre- ased ICP, such as headache, vomiting, lethargy, papilledema, and irritability (3, 4).

Case Report: A 43-year-old female patient, with a history of VP shunt placement since childhood due to obstructive hydrocephalus, presented with headache, blurred vision, vomiting, and papil- ledema. The chest X-ray revealed a fracture of the VP catheter between the second and third left rib arches. The patient underwent a new VP shunt placement on the right side, with immediate improvement in ICP symptoms and reduction of thoracic bulging.

Base - 01

Dr. Chrystiano Cardoso - Cirurgião responsável, orientador do trabalho e o responsável pelos casos mais complexos da publicação.

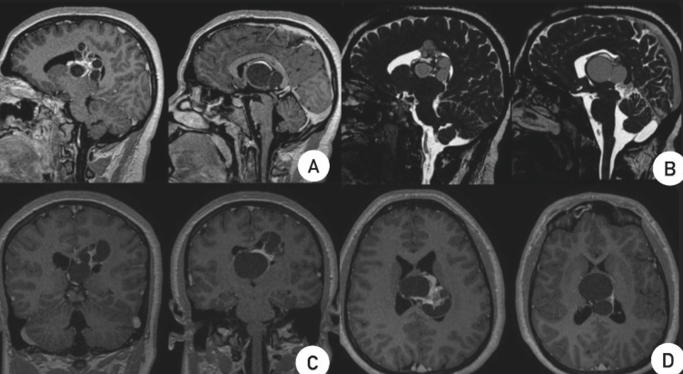
MATURE INTRACRANIAL TERATOMA: CASE REPORT

Por Dr. Chrystiano Fonseca Cardoso.

Intracranial terato- mas are rare germ cell tumors, accounting for approximately 0.5% of all intracranial tumors. They can be classified as mature, immature, or malignant, and are typically located along the midline of the brain, particularly around the third ventricle, pineal region, and suprasellar area.

Case Report: A 20-year-old female pa- tient presented with a history of seizures, hea- dache, nausea, vomiting, and diplopia. A cra- nial MRI revealed a multicystic lesion in the left lateral ventricle with ventricular dilation. Surgery was performed with an interhemis- pheric approach and partial resection of the lesion, confirming the diagnosis of a mature teratoma. The patient had a favorable recovery with no neurological deficits.

Base - 01

Dr. Chrystiano Cardoso - Cirurgião responsável, orientador do trabalho e o responsável pelos casos mais complexos da publicação.

Prevention of Neurological Damage in Severe Cervical Stenosis: The Role of Intraoperative Monitoring and Proactive Measures.

Por Dr. Chrystiano Fonseca Cardoso.

Cervical stenosis is a degenerative condition that causes compression of the spinal cord and nerve roots, resulting in neurological symptoms such as pain, weakness, and loss of motor and sensory function. Surgical treatment, such as spinal decompression, is indicated for severe cases, as untreated compression may lead to irreversible damage.

Intraoperative neurophysiological monitoring (IONM) has proven essential for patient safety, allowing early detection of neurological changes and enabling immediate intervention. This article discusses the importance of IONM in severe cervical stenosis surgeries, highlighting preventive measures to minimize neurological damage. We report the case of a 57-year- old patient with severe cervical stenosis associated with myelopathy.

Base - 01

Dr. Chrystiano Cardoso - Cirurgião responsável, orientador do trabalho e o responsável pelos casos mais complexos da publicação.

Retrospective Analysis of 52 Cases of Scoliosis Surgery in the Central-West Region of Brazil. 

Por Dr. Chrystiano Fonseca Cardoso.

This retrospective study analyzed 52 patients who underwent scoliosis surgery between 2014 and 2023 in private hospitals in the Central-West region of Brazil. The objective was to evaluate the degree of curvature correction, using the Cobb method, and postoperative complications. The sample was predominantly female (86.6%), with a mean age of 16 years. The majority of patients (92.3%) were diagnosed with idiopathic scoliosis (IS), with 57.7% presenting thoracic curves and 34.6% presenting lumbar curves, according to the Lenke classification.

The average preoperative Cobb angle was 55°, with a postoperative average correction of 74%, reflecting the effectiveness of spinal arthrodesis techniques with pedicle screws. 

Base - 01

Dr. Chrystiano Cardoso - Cirurgião responsável, orientador do trabalho e o responsável pelos casos mais complexos da publicação.

Intracranial Meningeal Hemangiopericytoma: Case Report and Literature Review.

Por Dr. Chrystiano Fonseca Cardoso.

Hemangiopericytoma (HPC) is a rare mesenchymal neoplasm originating from pericytes of venules and capillaries, typically observed in extracranial areas. When located in the meninges, it forms a solid tumor that adheres to the dura mater, often being confused with meningiomas. Intracranial HPC accounts for approximately 0.4% of all brain tumors [1,2]. Depending on biological behavior and histopathological grade, HPCs can be classified into three types: Type I (benign, solitary fibrous), Type II (atypical), and Type III (malignant, highly mitotic, and aggressive). Malignant HPCs have a high recurrence rate and the potential for metastases, making the management of these tumors challenging and frequently complex [3-5].

The differential diagnosis between HPC and meningioma is often difficult, as both tumor types share similar clinical and radiological characteristics.

Base - 01

Dr. Chrystiano Cardoso - Cirurgião responsável, orientador do trabalho e o responsável pelos casos mais complexos da publicação.

Cranioplasty For Treatment of Syndrome of The Trephined: Case Report And Literature Review.

Por Dr. Chrystiano Fonseca Cardoso.

Syndrome of the Trephined (ST) is a neurological complication observed after decompressive craniectomies, characterized by progressive neurological deterioration associated with the removal of a significant portion of the skull. ST is commonly seen in patients with severe traumatic brain injury, stroke, or other conditions that cause intracranial hypertension. Although rare, its clinical relevance is significant due to its impact on patient recovery.

The incidence of ST varies depending on the clinical context and region, with risk factors such as hemorrhagic injuries and brain displacement. In Brazil, the prevalence of the syndrome is underreported, partly due to the lack of large-scale studies, but its incidence has been increasing as decompressive craniectomies are more commonly performed in patients with severe intracranial hypertension. 

Base - 01

Dr. Chrystiano Cardoso - Cirurgião responsável, orientador do trabalho e o responsável pelos casos mais complexos da publicação.

Cerebellar Hemangioblastoma in A Patient With Von Hippel-Lindau Syndrome.

Por Dr. Chrystiano Fonseca Cardoso.

Von Hippel-Lindau syndrome (VHL) is a rare, autosomal dominant genetic disorder with a prevalence of 1 in 36,000. It is characterized by cysts and/or benign tumors in multiple organs with potential for malignant transformation. The main findings are: hemangioblastomas located in the retina and central nervous system (CNS), cysts or solid tumors in various sites (pancreas, liver, kidneys, lymphatic tissue), and pheochromocytoma [1-2].

Diagnosis is made in the presence of some of the classic tumors in individuals with a family history or in the presence of two tumors in those without a family history. Treatment and prognosis vary depending on the alterations presented [3-4].

Base - 01

Dr. Chrystiano Cardoso - Cirurgião responsável, orientador do trabalho e o responsável pelos casos mais complexos da publicação.

Scheuermann's Kyphosis: Case Series and Literature Review.

Por Dr. Chrystiano Fonseca Cardoso.

Scheuermann's Kyphosis (SK) is a spinal deformity characterized by abnormal curvature in the thoracic region, with vertebral bodies having a wedge-shaped appearance, with the posterior portion being taller than the anterior part. This condition may result in chronic pain, aesthetic changes, and, in severe cases, significant functional restrictions. Early diagnosis and appropriate treatment are crucial to prevent the progression of deformity and minimize long-term complications [1,2].

The prevalence of SK in the general population is estimated to be between 0.4% and8%,mostcommonlyaffectingadolescents during growth. Although the exact cause of the disease is unknown, genetic and biomechanical factors are believed to play an important role in its development [3,4]. The therapeutic approach is varied and depends on the severity of the deformity, the patient's age, and the symptoms presented [2,5].

O Grupo Neurocol conta com uma equipe especializada e grandes parceiros em Anápolis e Goiânia, oferecendo ao paciente um atendimento diferenciado.